|
|
|
Deprecated: Methods with the same name as their class will not be constructors in a future version of PHP; TMenuItem has a deprecated constructor in /home/uvetcal/public_html/sitioanterior/scripts/menuclass.php on line 17
Deprecated: Methods with the same name as their class will not be constructors in a future version of PHP; TMenu has a deprecated constructor in /home/uvetcal/public_html/sitioanterior/scripts/menuclass.php on line 153
|
|
El Setter Irlandés Ejemplo de enfermedad celíaca |
|
Música para este texto
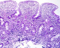
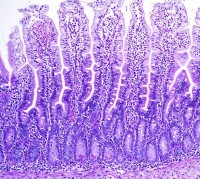
La Enfermedad Celíaca o enteropatía sensible al gluten (Trigo, Avena, Cebada, Centeno) se asocia a una inflamación crónica del intestino delgado en el hombre y se caracteriza por una atrofia de las vellosidades intestinales e interferncia en la absorción de nutrientes. Una de las pocas razas en las que se ha visto algunos ejemplares afectados por éste mal o mayor frecuencia de padecerlo es el Setter Irlandés, aunque también se ha visto en otras razas y en perros cruza.
La gran mayoría de las raciones tienen algo de trigo y esto hace que un perro que padezca éste problema tenga diarreas con éstos alimentos. Afortunadamente es muy fácil controlar esta enfermedad con una dieta a base de arroz y carne con los suplementos adicionales o una ración completa libre de TACC (existen varias).
El Setter de Dublin es una de las razas más activas, con una altísima disposición para el juego, muy excitable y que por estas características precisa espacio amplio para quemar parte de la energía de la que dispone, sino podría ser algo destructivo. De carácter muy sociable, con batería con carga extra, suele ser poco obediente y guardián, es un verdadero terremoto que disfruta enormemente de la vida al aire libre para correr como un conejo en los prados.
¿Y si tuviéramos la energía y entusiasmo de un Setter para toda idea o proyecto cada día?
Dr. Manuel Figueroa y Dr. Pablo Butler
Interesantísimo artículo sobre otros problemas relacionados al gluten: La intolerancia al gluten no celíaca.
 
|
|
|
|
|